Uusi kummikoira: Edward
Edward eli Eppu on jo monelle tuttu Viipurin Koirien FB-sivujen kautta. Eppu lähti alkuperäisestä suomalaisesta kodistaan kodin ja yhdistyksen yhteisellä päätöksellä, kun perheeseen syntynyt vauva kasvoi taaperoksi. Eppu asui vapaaehtoisen luona hoitopaikassa ja sille etsittiin sopivaa kotia 1,5 vuotta. Eppu päätettiin sijoittaa vain koirakokeneeseen aikuiskotiin, jossa ei juokse alati vieraita. Ilmeisesti Epun jatkuvat lääkekulut karsivat nekin vähät kotiehdokkaat, joita tämä hauskannäköinen, resursseistaan tarkka ja omia ihmisiään suuresti rakastava koira olisi kenties voinut löytää. Epun kodinetsintä päätettiin lopulta lopettaa tuloksettomana.

Nuorena poikana Viipurissa koetut kovat kokemukset näkyvät Epulla edelleen kipuiluna ja jossain määrin haasteellisena käytöksenä. Epulla on myös kilpirauhasen vajaatoiminta, joka vaatii lääkityksen ja säännöllisiä kontrolleja.
Eppu jää kummikoirana yhdistyksen omistukseen ja saa asua tutussa hoitoperheessään. Viipurin Koirien vastuulla on etsiä Epulle rahat sen jatkuviin lääkityksiin. Yhdistys on tukenut Eppua tähänkin saakka ja sille on järjestetty myös erilliskeräyksiä mm. kiputukimusta, röntgentutkimusta, luotien poistoa ja hammaslääkäriä varten. Eppu käy toisinaan myös hierojalla.

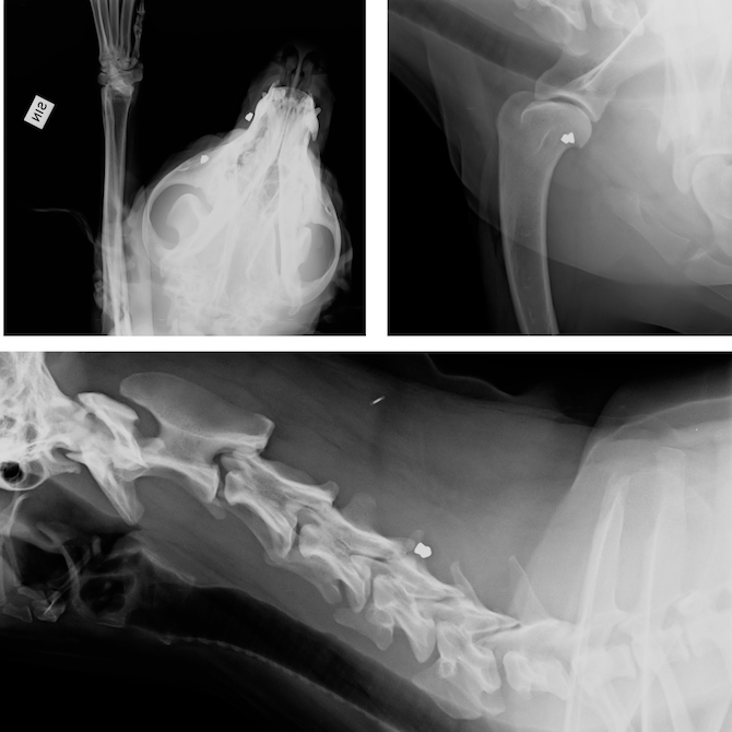
Epulta löytyi ilmakiväärin ammuksia eri puolilta kehoa. Niiden sijainnin vuoksi ne päätettiin poistaa, sillä niiden epäiltiin aiheittavan sille kipua ja hermoärsytystä.
Eppu on aikanaan saanut kokea ihmisen nurjan puolen. Ensin se on jätetty vaille ruokaa ja hoivaa, sitten sitä on hätistelty ja yritetty tappaa. Loppuelämänsä Eppu saa kokea ainoastaan ihmisyyden hyviä puolia. Sitä ei jätetä, ei hätistellä, eikä aiheuteta tarpeetonta kipua. Kolotuksia hoidetaan, jos pystytään. Lahjoittamalla meistä jokaisella on mahdollisuus osoittaa Epulle, että ihminen pystyy parempaan.
Epun myötä Viipurin Koirien omistamien kummikoiren määrä nousee yhteentoista. Niistä monilla on jatkuvia eläinlääkäri- ja lääkekuluja, jotka ovat yhdistyksen vastuulla. Tue Viipurin Koirien kummikoiria lahjoittamalla! Voit tehdä kertalahjoituksen tai ryhtyä kummiksi ja tukea kummikoiraa säännöllisesti kuukausittain. Eppua säännöllisesti tukevat kummit saavat seurata Epun elämää kummikirjeen kautta 4 kertaa vuodessa.
Viipurin Koirat ry:n keräystili: FI70 1544 3000 1854 75, käytä viitettä 2008.
Jos haluat ryhtyä Epun kummiksi, valitse verkkopankkisi asetuksista kuukausittain toistuva maksu ja lähetä lisäksi viesti kummikoiravastaavallemme Susannalle: susanna.kankaanpaa@viipurinkoirat.fi
Viipurin Koirat ry:llä on rahankeräyslupa RA/2020/903.
